视力突然下降、视野缺损,眼科检查却未发现异常?这种情况可能并非简单眼疾,背后或隐藏颅内病变等严重健康隐患。泉州爱尔眼科医院近期接连接诊此类病例,专家提醒市民警惕相关风险。
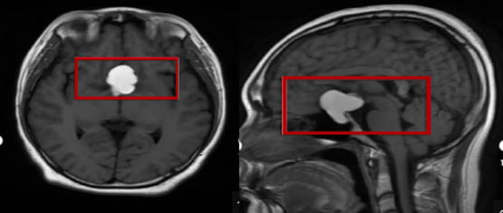
“因颅内鞍区肿瘤导致视力下降的病人并不少见。”金丽文医生解释说,颅内鞍区占位最常见的是垂体瘤和脑膜瘤,通常进展较缓慢,患者可能在不知不觉中丧失视力。许多患者在早期可能只有单侧视力下降,随着肿瘤的增长,可能会压迫到视神经,导致双侧视力受损。在视力缓慢下降的过程中,有些患者以为自己是年龄偏大,眼睛“老化”或者“老花眼”引起的;还有的近视患者以为是“近视度数加深”导致的,虽然前往医院就诊,但可能因为在疾病早期,除了视力异常外,没有其他眼部异常体征表现而漏诊。早发现早治疗,解除鞍区占位对视神经的压迫,可以大大提高视力恢复正常的可能。

孟冠军医生进一步说明。“很多患者认为视力问题就一定是眼睛本身的疾病,实际上,视觉通路从眼球一直延伸到大脑枕叶,任何一个环节出现问题都可能导致视力下降。特别是当视力下降与视野缺损同时出现时,我们必须警惕颅内病变可能,如垂体瘤、颅咽管瘤、脑膜瘤等,这些病变压迫视交叉或视神经,都会引起相应的视觉症状。”
专家强调,眼部疾病常与全身健康相关,不可孤立看待眼部症状。市民若出现不明原因视力下降,除眼科检查外,需及时完善头颅CT或磁共振检查,避免误诊漏诊。
通讯员:苏润钰、吴航、黄兰兰
整理编辑:泉州医声视力下降眼科检查却未见异常 专家提醒:警惕脑部病变!
免责声明:文章来源于媒体及网络。